Стоматология Мастерская улыбок доктора Лугуева

Популярные услуги

Акции и скидки

Хотите идеальную улыбку без лишних забот?
Срок действия
Постоянная акция
Счастливые часы в стоматологии
Срок действия
Постоянная акция
Представлены текущие акции
Новые предложения появятся позже

Подробнее о компании Мастерская улыбок доктора Лугуева

Что заставляет нас посещать стоматологические клиники? Как правило, на это сподвигает острая зубная боль. В стоматологии Мастерская улыбок доктора Лугуева с пониманием отнесутся к вашей проблеме. Передовые разработки в сфере стоматологии помогают нашему персоналу успешно лечить заболевания полости рта и сопутствующие недуги.

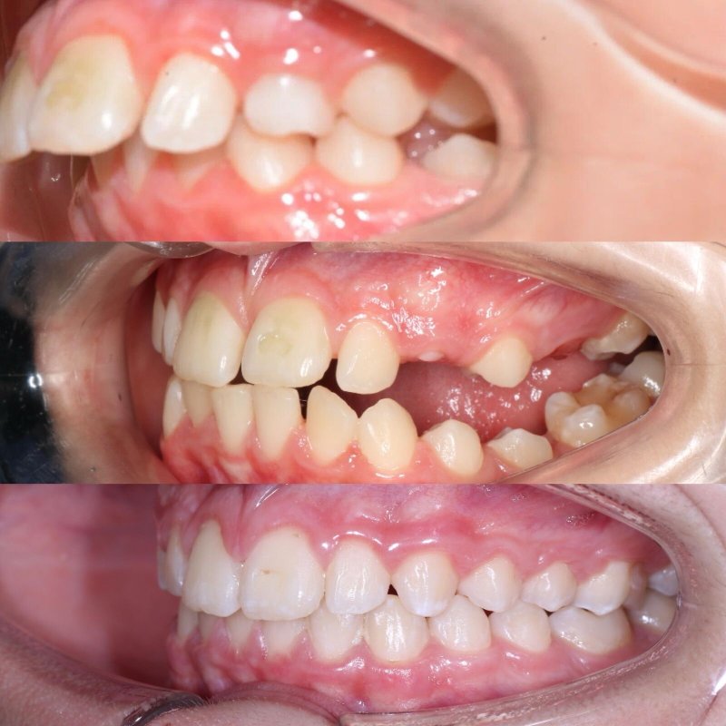
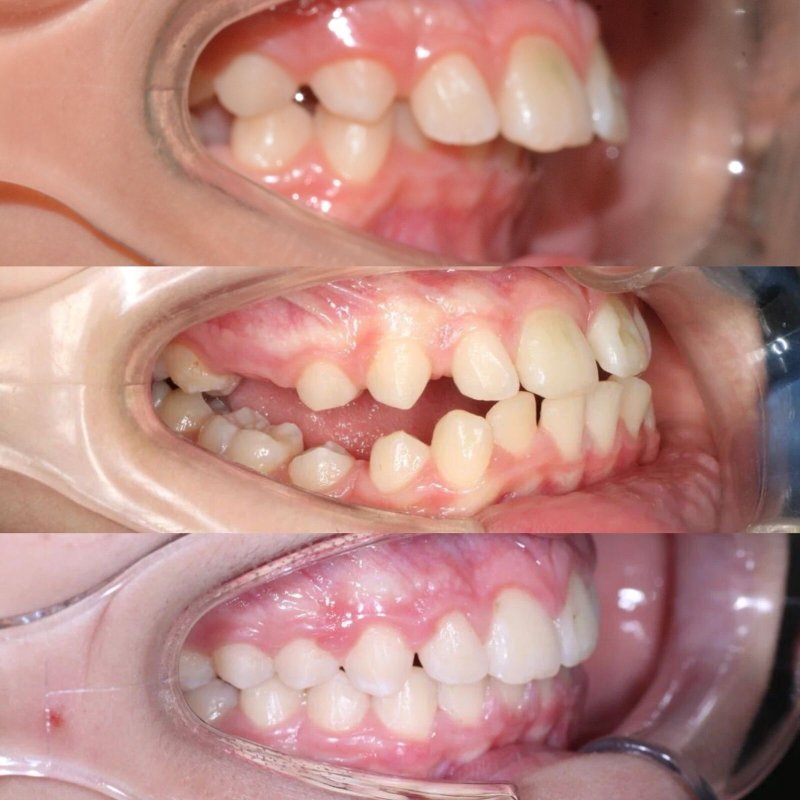
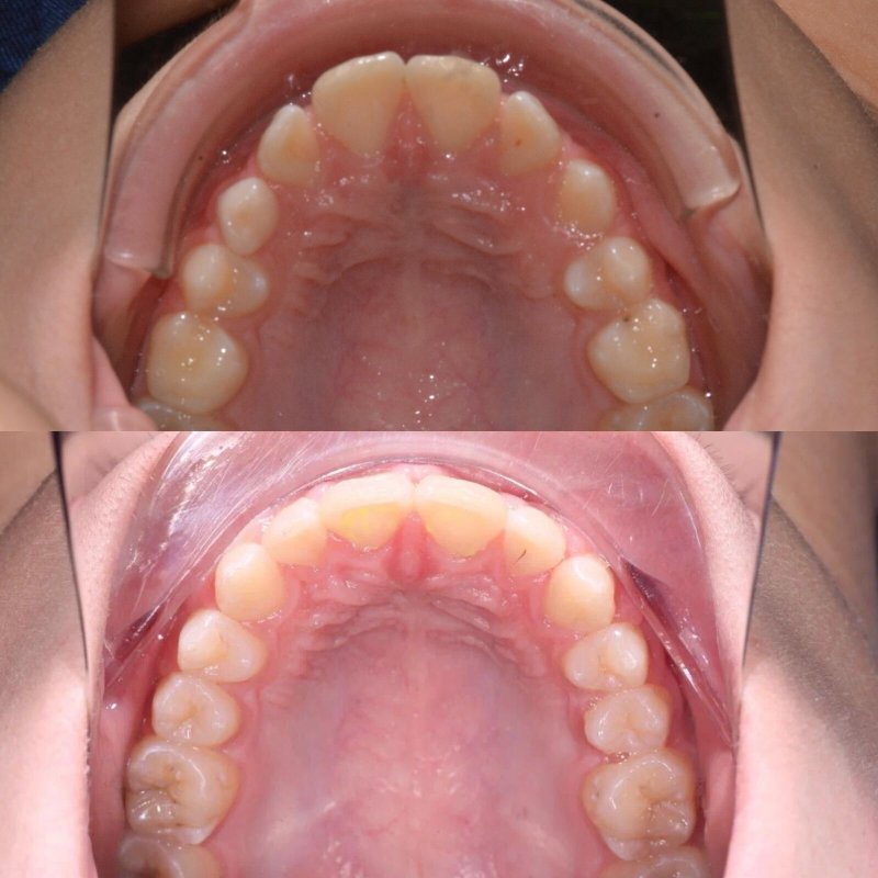
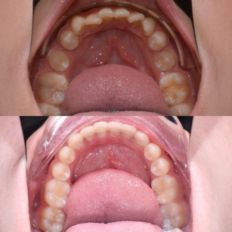
Если вы всерьез решили добиться ровной и сверкающей улыбки, то следует доверить это профессионалам. В стоматологии Мастерская улыбок доктора Лугуева имеется все необходимое для того, чтобы ваши зубы всегда были здоровыми. Наши стоматологи готовы предоставить услуги лечения кариеса, удаления зубов, исправления прикуса, рентгенологической диагностики, а также установки брекетов, имплантов, виниров. Пусть ваша улыбка будет в надежных руках!

Ваш ребенок не любит зубного врача? В нашей стоматологии нет места детским страхам! Наши доктора настоящие профессионалы, они знают, как найти подход к самым юным пациентам.

В своей работе мы используем.

На базе медицинского центра открыто отделение пластической хирургии. Также мы сможем помочь с.

Записаться на консультацию к нужному специалисту можно по указанным телефонам.

Наш рейтинг на порталах
Способы оплаты
наличные, перевод на карту

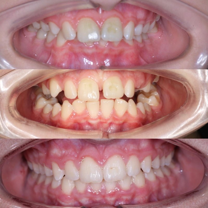
Фотогалерея

Специалисты

Арслан Абакарович Лугуев
Арслан Абакарович Лугуев

Лугуев Арслан Абакарович является стоматологом-ортопедом, а также работает в сфере ортопедии и стоматологической хирургии. Арслан Лугуев в том числе выполняет несъемное и съемное протезирование зубов, а также устанавливает условно-съемные протезы, безметалловые протезы, бескаркасные керамические коронки и виниры. Вы можете записаться к Арслану Лугуеву, если вам необходимо установить имплант или если какой-то из зубов поврежден до такой степени, что при помощи обычной пломбы его не спасти. Зубы перед протезированием должны быть должным образом санированы, так что перед визитом к ортопеду стоит посетить стоматолога-терапевта.

Арслан Лугуев является врачом первой категории.

Магомедгаджи Асадулаевич Дибиргаджиев
Магомедгаджи Асадулаевич Дибиргаджиев

Дибиргаджиев Магомедгаджи Асадулаевич является ортодонтом. Магомедгаджи Дибиргаджиев в том числе занимается изготовлением спортивных зубных капп, а также устанавливает брекеты. Думая о посещении стоматолога-ортодонта, следует помнить, что неправильный прикус представляет из себя не только эстетический дефект. Зубочелюстные деформации влияют на работу мышц шеи, строение позвоночника и даже на осанку. Ортодонтическая терапия занимает много времени, но это всякий раз является существенной инвестицией в качество жизни и здоровье.

Магомедгаджи Дибиргаджиев является врачом высшей категории.

Шамиль Абдулкадырович Дамадаев
Шамиль Абдулкадырович Дамадаев

Дамадаев Шамиль Абдулкадырович работает в сфере стоматологической хирургии и имплантологии. Шамиль Дамадаев в том числе обладает знаниями и навыками в области хирургической пародонтологии, делает пластику тканей полости рта, уздечки губ и языка и десны, а также выполняет удаление экзостозов полости рта, синус-лифтинг и проводниковую анестезию. К нему приходят на прием, когда возникает необходимость реконструировать целостность зубных рядов, сделать улыбку сияющей и иметь шанс снова полноценно пережевывать еду. Шамиль Дамадаев, помимо этого, может подобрать зубные импланты, а также грамотно организовать все сопутствующие процедуры по подготовке и вращиванию импланта.

Шамиль Дамадаев является врачом высшей категории.

Наида Магомедовна Амаева
Наида Магомедовна Амаева

Амаева Наида Магомедовна является стоматологом-ортопедом. Наида Амаева в том числе занимается лечением пульпита, периодонтита и кариеса, а также выполняет микропротезирование зубов. Вы можете записаться к Наиде Амаевой, если вам необходимо восстановить утраченный зуб или если какой-то из зубов поврежден до такой степени, что простая пломба ему не поможет. Протезирование предполагает обязательную санацию зубов, так что перед обращением к ортопеду лучше посетить стоматолога-терапевта.

Наида Амаева.

Идрис Алиевич Адамов
Идрис Алиевич Адамов

Адамов Идрис Алиевич является стоматологом-терапевтом. Идрис Адамов в том числе занимается лечением некариозных поражений зубов, кариеса, периодонтита и пульпита, а также специализируется на заболеваниях полости рта. Вы можете прийти к нему не только если состояние ваших зубов ухудшилось, но также при заболеваниях ротовой полости.

Идрис Адамов.

Лицензии, награды, сертификаты

Отзывы

5,0
Саида
Здравствуйте, я уже на протяжении пяти лет хожу именно в эту стоматологию Мастерская улыбок ,и я каждый раз остаюсь довольна,сегодня была на проф гигиене,у врача стоматолога Заиры Казимагомедовны 🌸очень квалифицированная и грамотная ,я очень рада что с ней познакомилась ,даст Аллах я думаю это повторится ,очень осталась довольна ее работой и результатом 🌷Благодарю вас и ассистентку 🤍Мастерская улыбок ,спасибо за скидки мне очень приятно,рекомендую эту стоматологию !!!
8 мая 2026 Отзыв взят с сайта Zoon.ru
5,0
Патимат Магомедова
Огромное спасибо Наиде Магомедовне за ювелирную работу по восстановлению зуба! Результат выглядит идеально, даже не скажешь, что был скол. Очень рада, что попала к такому профессионалу»
22 апреля 2026 Отзыв взят с сайта Zoon.ru
5,0
Билал Салихов
Зуб разболелся, пришлось записаться к стоматологу-терапевту. Врач сразу расположил к себе, он грамотно объяснил все этапы лечения и аккуратно выполнил работу без неприятных ощущений. После процедуры посоветовал показываться для профилактики каждые 6 месяцев.
18 декабря 2025 Отзыв взят с сайта Zoon.ru
5,0
Анжела
Стоматолог хорошая, приятная девушка, очень внимательная. На ресепшене вежливо обращаются, быстро отвечают на вопросы. Качество лечения отличное, дали полезные рекомендации по уходу за зубами, полностью проинформировали, что нужно делать.
26 ноября 2025 Отзыв взят с сайта Zoon.ru
5,0
Рабадан
Я остался очень доволен качеством обслуживания в данной клинике, где меня приняли без очередей с искренне теплым отношением. За три визита я получил превосходную консультацию от каждого доктора: они детально разъяснили все необходимые процедуры при лечении зубов, на приеме у ортодонта и гнатолога. Стоматолог Хадижат, ортодонт Магомедгаджи и гнатолог Адель продемонстрировали высокий уровень внимательности и профессионализма, что для меня имеет принципиальное значение.
29 октября 2025 Отзыв взят с сайта Zoon.ru
5,0
Райсат
Мне очень понравилась работа специалиста Амаевой Наиды, она выполняет все процедуры аккуратно и находит особый подход к каждому пациенту. Доктор внимательная и чуткая, обладает прекрасными человеческими качествами и высоким профессионализмом. Она учла мою особенность, связанную с тем, что из-за панических атак я не могу долго сидеть в кресле, поэтому организовала лечение поэтапно, чтобы избежать дискомфорта. Я проходила лечение кариеса и пломбирование зуба, необходимые снимки сделали на месте. Мой ребенок также несколько раз обращался к этому врачу. Благодарю за качественную и внимательную работу.
29 октября 2025 Отзыв взят с сайта Zoon.ru
5,0
Омар Магомедович
Мне очень понравилось, как врач подошел к моему состоянию, сначала внимательно расспросил, затем провел точную и современную диагностику. Перед консультацией и лечением сделали снимок, все подробно разъяснили. Чувствуется, что специалист много лет работает в своей области и прекрасно разбирается в своем деле. Я не в первый раз обращаюсь в эту стоматологию и снова остался полностью доволен!
3 октября 2025 Отзыв взят с сайта Zoon.ru
Удалить отзыв

Остались вопросы?

Вы можете воспользоваться любым из указанных способов связи
Контактный номер
+7 (988) 465-03-... Показать
Мессенджеры